Coronavirus slowchat #3 Vorige deel Overzicht Laatste deel

Dit topic is onderdeel van een reeks. Ga naar het meest recente topic in deze reeks.

Pagina: 1 ... 15 ... 21 Laatste
Acties:
  • 81.462 views

Onderwerpen


Acties:
  • 0 Henk 'm!

Verwijderd

Mfpower schreef op woensdag 14 april 2021 @ 10:55:
Kinderen thuis, besmetting op school.
Vorige week kinderen thuis, want ze waren verkouden. En dat was niet de eerste keer sinds de scholen open zijn.
Eigenlijk zijn ze door al die quarantaines, verkoudheden, zieke docenten (geen vervanging) enzo maar 50% van de tijd op school geweest. Leeropbrengst: amper. Regelmaat: none. Veiligheid: niet, want ze mogen gewoon in volle klassen 30+ bij elkaar. En de BSO's gaan ook open.
Hoe is dit goed voor iemand?
Ik denk dat we ze maar thuishouden tot de zomervakantie, thuisscholen ging best goed.
Geopende scholen zijn mogelijk de grootste verspreidingsmotoren van het virus. Vanwege het niet kunnen houden aan allerlei basisregels als afstand, maar vooral omdat kinderen het ongemerkt kunnen hebben en daardoor een onopgemerkte lange tijd virus kunnen verspreiden (totdat de eerste coronagevallen zichtbaar worden). Geen bron en contactonderzoek mogelijk, omdat je de brenger van het virus niet kan herkennen enz. enz.

Scholen open heeft ook niet voldoende opbrengst op leergebied (dat signaleer je zelf al en de redenen ook).
Sinds de scholen in januari weer openden liepen de cijfers weer op.

Het besluit om scholen te openen stap is -denk ik- voornamelijk vanwege de ouders genomen. In ieder geval niet vanwege het remmen van het virus.

Acties:
  • 0 Henk 'm!

  • anandus
  • Registratie: Februari 2001
  • Niet online
Verwijderd schreef op woensdag 14 april 2021 @ 11:01:
[...]
Scholen open heeft ook niet voldoende opbrengst op leergebied (dat signaleer je zelf al en de redenen ook).
Sinds de scholen in januari weer openden liepen de cijfers weer op.
Er was sprake van een piek in het begin (omdat iedereen opeens weer bij elkaar was), maar bij kinderen is het aantal besmettingen al weken aan het dalen.
Mfpower schreef op woensdag 14 april 2021 @ 10:55:
Eigenlijk zijn ze door al die quarantaines, verkoudheden, zieke docenten (geen vervanging) enzo maar 50% van de tijd op school geweest.
Ik denk dat dit heel erg verschilt van school tot school en persoon tot persoon?

Op de basisschool van mijn dochter is sinds de opening in januari twee keer een klas 5 dagen in quarantaine geweest. Op een school met iets van 15 klassen.
Dus ik vind dat redelijk meevallen.

Maar wel heel naar in jouw geval en ik begrijp je eventuele besluit om ze thuis te houden dan ook goed.
Een knipperlichtscholing is inderdaad voor niemand goed.

[ Voor 59% gewijzigd door anandus op 14-04-2021 11:10 ]

"Always remember to quick save" - Sun Tzu


Acties:
  • +3 Henk 'm!

  • xzaz
  • Registratie: Augustus 2005
  • Laatst online: 10-10 08:58
Zijn bij jullie de 60+'ers ook zo ontzettend eigenwijs? Mijn schoonouders, collega's allemaal laten ze zich niet vaccineren want 'dat heeft op facebook gestaan'-argument. Wat is dat toch met die generatie?

[ Voor 9% gewijzigd door xzaz op 14-04-2021 11:19 ]

Schiet tussen de palen en je scoort!


Acties:
  • +1 Henk 'm!

  • Robkazoe
  • Registratie: December 2002
  • Laatst online: 14:38
xzaz schreef op woensdag 14 april 2021 @ 11:18:
Zijn bij jullie de 60+'ers ook zo ontzettend eigenwijs? Mijn schoonouders, collega's allemaal laten ze zich niet vaccineren want 'dat heeft op facebook gestaan'-argument. Wat is dat toch met die generatie?
Het helpt als de buurman (die een paar jaar ouder is) een paar weken op de IC heeft gelegen met z'n leven aan een zijden draadje en nu in een revalidatiecentrum zit om weer opnieuw te leren lopen omdat hij zo verzwakt is.

Acties:
  • +1 Henk 'm!

  • Ankona
  • Registratie: Mei 2014
  • Laatst online: 22-11-2023
xzaz schreef op woensdag 14 april 2021 @ 11:18:
Zijn bij jullie de 60+'ers ook zo ontzettend eigenwijs? Mijn schoonouders, collega's allemaal laten ze zich niet vaccineren want 'dat heeft op facebook gestaan'-argument. Wat is dat toch met die generatie?
Hangt ook wel van de sociale omgeving af. In een tunnel heb je veel echo dus als iemand optrekt met veel wappies met tunnelvisie dan zullen de wetenschappelijke artikelen van de Facebook University het goed doen en zal iedereen elkaar bevestigen in de alternatieve waarheid.

Mijn vader en schoonouders hebben zich inmiddels lekker laten prikken. Mijn moeder staat meer onder invloed van mijn zus (werkzaam als kwakzalver in de "alternatieve gezondheidszorg" en volleerd wappie), zij zal waarschijnlijk minder snel een prik gaan halen.

alles kan off-topic


Acties:
  • +1 Henk 'm!

  • Woy
  • Registratie: April 2000
  • Niet online

Woy

Moderator Devschuur®
xzaz schreef op woensdag 14 april 2021 @ 11:18:
Zijn bij jullie de 60+'ers ook zo ontzettend eigenwijs? Mijn schoonouders, collega's allemaal laten ze zich niet vaccineren want 'dat heeft op facebook gestaan'-argument. Wat is dat toch met die generatie?
Ik heb eigenlijk nog niemand gehoord die zich niet heeft laten vaccineren als die kans zich aanbood. Wel wat twijfels gehoord, maar uiteindelijk gewoon wel gedaan. Ik merk wel dat de twijffels over AZ wat toegenomen zijn onder de mensen rond de 40, maar de 60+ groep kreeg hier de eerste vaccinatie voordat AZ werd gestopt voor de 60- groep.

“Build a man a fire, and he'll be warm for a day. Set a man on fire, and he'll be warm for the rest of his life.”


Acties:
  • 0 Henk 'm!

  • DaniëlWW2
  • Registratie: November 2009
  • Niet online

DaniëlWW2

Moderator General Chat

Dyslectic history cynic

vhal schreef op woensdag 14 april 2021 @ 07:40:
[...]


Feitelijk is daar niks aan gelogen...
En dat is het treurige. :z

Never argue with an idiot. He will drag you down to his own level and beat you with experience.


Acties:
  • 0 Henk 'm!

  • Lethalis
  • Registratie: April 2002
  • Niet online
xzaz schreef op woensdag 14 april 2021 @ 11:18:
Zijn bij jullie de 60+'ers ook zo ontzettend eigenwijs? Mijn schoonouders, collega's allemaal laten ze zich niet vaccineren want 'dat heeft op facebook gestaan'-argument. Wat is dat toch met die generatie?
Hangt ervan af wat je met "eigenwijs" bedoelt.

Ik vind ze best eigenwijs omdat de meeste 60 plussers die ik ken onvoorzichtiger omgaan met het virus dan ik. Niet thuiswerken, alle winkels af, als eerste bij de kapper, dolgraag kleinkind willen zien ook al is het verkouden... maar ze laten zich volgens mij wel vaccineren. De meesten dan.

Mijn eigen moeder is vrij praktisch ingesteld bijvoorbeeld. Ze ziet corona als een verkoudheidje aan de ene kant, aan de andere kant wil ze graag deze zomer door Europa kunnen reizen om familie te bezoeken dus laat ze zich alsnog vaccineren.

Nu past dat in haar geval nog wel redelijk in de lijn van "ik maak mij niet zo druk". Ze maakt zich niet druk om corona, maar ook niet druk om het vaccin. Zo van "als het moet, dan moet het, whatever". Tsja... het is een voordeel dat mijn moeder heeft ten opzichte van mij. Ze gaat wat relaxter door het leven.

Al is het misschien ook oneerlijk, want zij is 67 jaar oud en heeft nog nooit iets met haar gezondheid gehad. Terwijl ik in mijn leven toch een aantal dingen heb meegemaakt waardoor ik mijn lijf / gezondheid gewoon niet helemaal vertrouw en dat komt nooit meer goed. Hierdoor schiet ik altijd in de stress als er iets mee is... of ik nou ziek word, medicijnen moet slikken of een vaccin moet krijgen maakt eigenlijk niet uit.

Maar vroeger ook... dan was het hele gezin ziek van de griep en weet ik wat, en zat mijn moeder gewoon rustig aan de eettafel haar kopje koffie te drinken met zo'n blik van "stel je niet zo aan, weet niet waar jullie het over hebben". Zij heeft echt nooit wat.

Ach ja. Long story short, de meeste ouderen die ik ken laten zich wel vaccineren, maar nemen het ook niet zo nauw met de maatregelen.

Ask yourself if you are happy and then you cease to be.


Acties:
  • 0 Henk 'm!

  • Philpend
  • Registratie: Januari 2015
  • Laatst online: 14:31
xzaz schreef op woensdag 14 april 2021 @ 11:18:
Zijn bij jullie de 60+'ers ook zo ontzettend eigenwijs? Mijn schoonouders, collega's allemaal laten ze zich niet vaccineren want 'dat heeft op facebook gestaan'-argument. Wat is dat toch met die generatie?
Neen, in tegendeel, bijna alle 60+ in mijn omgeving staat te trappelen om gevaccineerd te worden en willen niks weten van die facebookwappies. Er is dus helemaal niks mis met die generatie als geheel, wappies heb je in alle leeftijdsgroepen. Voor zover er al onrust is, is die meer gericht op de overheid die maar steeds weer stopt met vaccineren: er moet doorgeprikt worden!

N=1: mijn buurvrouw van 71 krijgt morgen haar eerste vaccinatie, ik heb haar nog nooit zo blij gezien als toen ze ons dat kwam vertellen.

[ Voor 9% gewijzigd door Philpend op 14-04-2021 12:04 ]


Acties:
  • +1 Henk 'm!

  • ninjazx9r98
  • Registratie: Juli 2002
  • Laatst online: 20:29
xzaz schreef op woensdag 14 april 2021 @ 11:18:
Zijn bij jullie de 60+'ers ook zo ontzettend eigenwijs? Mijn schoonouders, collega's allemaal laten ze zich niet vaccineren want 'dat heeft op facebook gestaan'-argument. Wat is dat toch met die generatie?
Absoluut niet. Op 1 uitzondering na is iedereen positief/enthousiast dat het eindelijk gaat gebeuren of dat ze al gevaccineerd zijn. Die ene uitzondering is de zus van m'n moeder, is ergens in de 70, die morgen voor de eerste keer gaat en van plan is om terug naar huis te gaan als blijkt dat ze AZ gaat krijgen.
Moet het nog maar zien of ze daadwerkelijk omkeert, ken ondertussen ook meerdere grote verhalen van mensen onder de 60 en werkzaam in de zorg die met de uitnodiging op zak ineens hun eerdere standpunt vergeten waren en zich zonder morren hebben laten vaccineren.
Zal vooral aan je bubbel/omgeving liggen en dat geldt uiteraard net zo goed voor de mensen die weinig tot geen weigeraars in hun omgeving zien/horen alhoewel die gezien het aantal vaccinaties dat men gezet heeft en blijft zetten wel flink in de meerderheid lijken te zijn.

Moet er ook bij zeggen dat ik op 2 collega's van begin 60 ( 1 voor de eerste keer gevaccineerd, de andere heeft het gehad en heeft waarschijnlijk long covid maar kan ook niet wachten op de uitnodiging) na geen ouderen ken die zich slecht of nauwelijks aan de basisregels houden. Iedereen die ik ken en spreek is voorzichtig en zich zeer bewust van de risico's.

[ Voor 4% gewijzigd door ninjazx9r98 op 14-04-2021 13:06 ]


Acties:
  • 0 Henk 'm!

  • xzaz
  • Registratie: Augustus 2005
  • Laatst online: 10-10 08:58
Lethalis schreef op woensdag 14 april 2021 @ 12:01:
[...]
Maar vroeger ook... dan was het hele gezin ziek van de griep en weet ik wat, en zat mijn moeder gewoon rustig aan de eettafel haar kopje koffie te drinken met zo'n blik van "stel je niet zo aan, weet niet waar jullie het over hebben". Zij heeft echt nooit wat.
Dit komt mij wel bekend voor.

Schiet tussen de palen en je scoort!


Acties:
  • +1 Henk 'm!

Verwijderd

Verwijderd schreef op woensdag 14 april 2021 @ 11:01:
[...]


Geopende scholen zijn mogelijk de grootste verspreidingsmotoren van het virus. Vanwege het niet kunnen houden aan allerlei basisregels als afstand, maar vooral omdat kinderen het ongemerkt kunnen hebben en daardoor een onopgemerkte lange tijd virus kunnen verspreiden (totdat de eerste coronagevallen zichtbaar worden). Geen bron en contactonderzoek mogelijk, omdat je de brenger van het virus niet kan herkennen enz. enz.

Scholen open heeft ook niet voldoende opbrengst op leergebied (dat signaleer je zelf al en de redenen ook).
Sinds de scholen in januari weer openden liepen de cijfers weer op.

Het besluit om scholen te openen stap is -denk ik- voornamelijk vanwege de ouders genomen. In ieder geval niet vanwege het remmen van het virus.
In het andere topic staat een aanwijzing dat mijn vermoeden niet eens zo verkeerd lijkt te zijn: Zie dit tweetje


Acties:
  • +2 Henk 'm!

  • hoevenpe
  • Registratie: Juni 2000
  • Laatst online: 21:24
xzaz schreef op woensdag 14 april 2021 @ 16:56:
Dat proberen ze met de stappen, maar dan valt iedereen daar weer over omdat dat 'onduidelijk' en 'niet realistisch' is. Als ze nou even luisteren hebben ze meerdere malen gezegd dat het geen harde data zijn.
Wat in ieder geval niet helpt is voor 10.000 man een feestje geven:
Woede bij Bredase horeca om groot 'Koningsdagfeest'

Onder horecaondernemers in Breda is grote onrust ontstaan na de aankondiging van een officieel testevenement voor een 'Koningsdagfeest' van Radio 538. Ze zijn boos dat 10.000 bezoekers voor het Fieldlab-evenement bijeen mogen komen, terwijl eet- en drinkgelegenheden al maanden geen gasten mogen ontvangen wegens het coronavirus.

De zogeheten 538 Oranjedag, waarvoor de entree 37,50 euro is, vindt op 24 april plaats op het Bredase Chasséveld. Voorafgaand aan de nieuwe proefevenementen moeten alle bezoekers, medewerkers en andere betrokkenen een sneltest ondergaan. Onder anderen Snollebollekes en dj's Armin van Buuren en Afrojack treden op tijdens het evenement.
Wat denk je dat de gemiddelde Nederlander denkt als hij/zij dit ziet? Dat biertje met 8 vrienden in de achtertuin kan ook wel...

Regio Utrecht 1850Wp@79° 3700Wp@259°


Acties:
  • +1 Henk 'm!

  • xzaz
  • Registratie: Augustus 2005
  • Laatst online: 10-10 08:58
hoevenpe schreef op woensdag 14 april 2021 @ 17:03:
[...]
Wat denk je dat de gemiddelde Nederlander denkt als hij/zij dit ziet? Dat biertje met 8 vrienden in de achtertuin kan ook wel...
Ik zeg: gewoon doen. Afgelopen weekend ook op een verjaardag geweest. Als je buiten bent en afstand kan bewaren, way nut?

Schiet tussen de palen en je scoort!


Acties:
  • 0 Henk 'm!

  • YakuzA
  • Registratie: Maart 2001
  • Niet online

YakuzA

Wat denk je nou zelluf hey :X

hoevenpe schreef op woensdag 14 april 2021 @ 17:03:
[...]

Wat in ieder geval niet helpt is voor 10.000 man een feestje geven:

[...]

Wat denk je dat de gemiddelde Nederlander denkt als hij/zij dit ziet? Dat biertje met 8 vrienden in de achtertuin kan ook wel...
Iedereen jaloers zo te zien :)

Death smiles at us all, all a man can do is smile back.
PSN


Acties:
  • 0 Henk 'm!

  • MikeyMan
  • Registratie: Februari 2003
  • Laatst online: 13:39

MikeyMan

Vidi, Vici, Veni

(jarig!)
YakuzA schreef op woensdag 14 april 2021 @ 17:13:
[...]

Iedereen jaloers zo te zien :)
Ja niet onterecht.

En de vervolgstap is 'dan ik ook maar'.

Acties:
  • 0 Henk 'm!

  • hoevenpe
  • Registratie: Juni 2000
  • Laatst online: 21:24
Jup, zin in een feestje...

Regio Utrecht 1850Wp@79° 3700Wp@259°


Acties:
  • 0 Henk 'm!

  • vhal
  • Registratie: Juni 2003
  • Laatst online: 11:29

vhal

ಠ_ಠ

Zojuist heb ik een e-mail van de Efteling en hun FL event gekregen. Iedereen moet vooraf getest worden, inclusief kinderen en baby's. Vijf dagen later mag je wederom naar de teststraat. Daarnaast openen ze een selectie van attracties in het park. Ik denk dat ik maar bedank voor de uitnodiging :+

Strava


Acties:
  • 0 Henk 'm!

  • ijdod
  • Registratie: April 2000
  • Laatst online: 10-10 07:40

Root don't mean a thing, if you ain't got that ping...


Acties:
  • +1 Henk 'm!

  • Yaksa
  • Registratie: December 2008
  • Laatst online: 20:45
Opvallend bericht wat eigenlijk wel aangeeft dat het in de wereld slecht verdeeld is qua coronavaccins:

Greta Thunberg boycot klimaattop vanwege oneerlijk vaccinatiebeleid.
De klimaattop was vanwege Corona al een keer uitgesteld maar de weigering van Greta om deel te nemen wordt door de organisatie als een grote tegenslag gezien.
Bericht Greta:
Of course I would love to attend the Glasgow #COP26
But not unless everyone can take part on the same terms. Right now many countries are vaccinating healthy young people, often at the expense of risk groups and front line workers (mainly from global south, as usual…).
Thread-> https://t.co/pr1u7TeZxn

Ergens heeft ze wel een punt natuurlijk.
En als we deze crisis al zo behandelen, hoe gaan we dan in hemelsnaam de klimaatcrisis aanpakken?
Bron:

Only two things are infinite, the universe and human stupidity, and I'm not sure about the former


Acties:
  • 0 Henk 'm!

  • t_captain
  • Registratie: Juli 2007
  • Laatst online: 21:35
https://www.ed.nl/eindhov...n-veel-te-klein~a8971e02/

Dit is niet het eerste signaal dat ik ontvang over locaties die zelf niet op de hoogte waren dat ze op de lijst stonden als test evenement.

Het lijkt wel of er random dingen worden gekozen, en het nabellen van de uitbater niet altijd lukt.

Acties:
  • +5 Henk 'm!

  • hoevenpe
  • Registratie: Juni 2000
  • Laatst online: 21:24
t_captain schreef op woensdag 14 april 2021 @ 18:31:
Het lijkt wel of er random dingen worden gekozen, en het nabellen van de uitbater niet altijd lukt.
Waar komt trouwens die plotselinge fieldlabs explosie vandaan? Met de huidige cijfers lijkt me dat het eerste wat een paar weken langer kan wachten...

Regio Utrecht 1850Wp@79° 3700Wp@259°


Acties:
  • +2 Henk 'm!

  • MikeyMan
  • Registratie: Februari 2003
  • Laatst online: 13:39

MikeyMan

Vidi, Vici, Veni

(jarig!)
hoevenpe schreef op woensdag 14 april 2021 @ 19:01:
[...]

Waar komt trouwens die plotselinge fieldlabs explosie vandaan? Met de huidige cijfers lijkt me dat het eerste wat een paar weken langer kan wachten...
Perspectief bieden he...

Maar deze lijkt aardig te backfiren...

Acties:
  • +4 Henk 'm!

  • hoevenpe
  • Registratie: Juni 2000
  • Laatst online: 21:24
30 man naar het theater snap ik nog, met 10.000 naar Koningsdag totaal niet...

Regio Utrecht 1850Wp@79° 3700Wp@259°


Acties:
  • 0 Henk 'm!

  • YakuzA
  • Registratie: Maart 2001
  • Niet online

YakuzA

Wat denk je nou zelluf hey :X

Yaksa schreef op woensdag 14 april 2021 @ 18:26:
Opvallend bericht wat eigenlijk wel aangeeft dat het in de wereld slecht verdeeld is qua coronavaccins:

Greta Thunberg boycot klimaattop vanwege oneerlijk vaccinatiebeleid.
De klimaattop was vanwege Corona al een keer uitgesteld maar de weigering van Greta om deel te nemen wordt door de organisatie als een grote tegenslag gezien.
Bericht Greta:
Of course I would love to attend the Glasgow #COP26
But not unless everyone can take part on the same terms. Right now many countries are vaccinating healthy young people, often at the expense of risk groups and front line workers (mainly from global south, as usual…).
Thread-> https://t.co/pr1u7TeZxn

Ergens heeft ze wel een punt natuurlijk.
En als we deze crisis al zo behandelen, hoe gaan we dan in hemelsnaam de klimaatcrisis aanpakken?
Bron:
Zoals gewoonlijk framen we het er weer op dat ze harder hun best hadden moeten doen om rijk te worden zodat ze ook veel vaccins hadden kunnen kopen.
En dan ter aflaat kopen we voor hun vaccins via COVAX.

En volgend jaar zomer kunnen we dan weer met een gerust hart op vakantie 8)

(Aan de andere kant wordt er weer keihard geklaagd dat de EU niet genoeg vaccins van andere landen jat en dat mensen daardoor misschien pas een maandje later weer naar het pretpark kunnen)

[ Voor 6% gewijzigd door YakuzA op 14-04-2021 19:11 ]

Death smiles at us all, all a man can do is smile back.
PSN


Acties:
  • 0 Henk 'm!

  • Keiichi
  • Registratie: Juni 2005
  • Laatst online: 08-10 09:57
hoevenpe schreef op woensdag 14 april 2021 @ 19:04:
[...]

30 man naar het theater snap ik nog, met 10.000 naar Koningsdag totaal niet...
maken groten getallen onderzoek niet representatiever? Een vaccin test je ook liefst op veel man en niet op een paar om en zo betrouwbaar mogelijk resultaat te hebben.

Solar @ Dongen: http://solar.searchy.net/ - Penpal International: http://ppi.searchy.net/


Acties:
  • 0 Henk 'm!

  • MikeyMan
  • Registratie: Februari 2003
  • Laatst online: 13:39

MikeyMan

Vidi, Vici, Veni

(jarig!)
Keiichi schreef op woensdag 14 april 2021 @ 19:14:
[...]


maken groten getallen onderzoek niet representatiever? Een vaccin test je ook liefst op veel man en niet op een paar om en zo betrouwbaar mogelijk resultaat te hebben.
Moet je dan meer mensen, meer evenementen en meer locaties als parameters introduceren?

Acties:
  • 0 Henk 'm!

  • hoevenpe
  • Registratie: Juni 2000
  • Laatst online: 21:24
MikeyMan schreef op woensdag 14 april 2021 @ 19:26:
Moet je dan meer mensen, meer evenementen en meer locaties als parameters introduceren?
En in het geval van 538, veel meer alcohol?
Succes met de anderhalve meter...

Regio Utrecht 1850Wp@79° 3700Wp@259°


Acties:
  • 0 Henk 'm!

  • Stoney3K
  • Registratie: September 2001
  • Laatst online: 01:22

Stoney3K

Flatsehats!

hoevenpe schreef op woensdag 14 april 2021 @ 19:27:
[...]

En in het geval van 538, veel meer alcohol?
Succes met de anderhalve meter...
Volgens mij was dat fieldlab-festival juist vrijgesteld van de anderhalve meter.

Zet het daar maar neer! -- It's time to party like it's 1984 -- Soundcloud


Acties:
  • +1 Henk 'm!

  • Indoubt
  • Registratie: Maart 2003
  • Laatst online: 17:11

Indoubt

Always be indoubt until sure

Keiichi schreef op woensdag 14 april 2021 @ 19:14:
[...]


maken groten getallen onderzoek niet representatiever? Een vaccin test je ook liefst op veel man en niet op een paar om en zo betrouwbaar mogelijk resultaat te hebben.
Ja, als we de aantallen groter maken, zeg zo'n 17 miljoen, is het probleem opgelost :+

Acties:
  • 0 Henk 'm!

  • Fr33z
  • Registratie: December 2003
  • Laatst online: 21:24
hoevenpe schreef op woensdag 14 april 2021 @ 17:16:
[...]

Jup, zin in een feestje...
Maar het is toch ook duidelijk dat het aan alle kanten op springen staat? Ik snap heel goed dat mensen in achtertuinen en parken bij elkaar komen. De oproep van de burgemeesters van afgelopen weekend waarin ze aangeven alleen nog met waterkanonnen te kunnen handhaven is wat mij betreft veelzeggend.

Dat de regering besluit om terrassen nog niet te openen vind ik vanuit het kader van houdbaarheid van de maatregelen onbegrijpelijk. Ik heb echt het beeld dat de regering de controle elke dag meer kwijtraakt en niet doorheeft hoe ze achter de feiten aanlopen helaas.

NB: ik weet dat dit soort berichten niet helpen, maar ben zelf echt gefrustreerd inmiddels. Ben heel benieuwd of andere mensen deze mening delen of dat jullie het idee hebben dat het allemaal wel meevalt en we de lockdowns gewoon lekker verlengen met nog een maandje en dat iedereen zich daar dan ook aan gaat houden (ik denk het niet namelijk)

edit: ja ik heb waarschijnlijk context gemist in de post die quote...

[ Voor 3% gewijzigd door Fr33z op 14-04-2021 19:39 ]


Acties:
  • 0 Henk 'm!

  • hoevenpe
  • Registratie: Juni 2000
  • Laatst online: 21:24
@Fr33z
Volgens mij heb je de context van mijn opmerking gemist... ;)

Regio Utrecht 1850Wp@79° 3700Wp@259°


Acties:
  • 0 Henk 'm!

  • BarôZZa
  • Registratie: Januari 2003
  • Laatst online: 12:57
https://www.nu.nl/coronav...-totale-janssen-stop.html

Nog even volhouden jongens, augustus, september ofzo.

Acties:
  • +1 Henk 'm!

  • Stoney3K
  • Registratie: September 2001
  • Laatst online: 01:22

Stoney3K

Flatsehats!

BarôZZa schreef op woensdag 14 april 2021 @ 19:41:
Nog even volhouden jongens, augustus, september ofzo.
September 2024 dan he.

Zet het daar maar neer! -- It's time to party like it's 1984 -- Soundcloud


Acties:
  • 0 Henk 'm!

  • hoevenpe
  • Registratie: Juni 2000
  • Laatst online: 21:24
BarôZZa schreef op woensdag 14 april 2021 @ 19:41:
Nog even volhouden jongens, augustus, september ofzo.
offtopic:
Tip: koop nu alvast je tuinset, zwembad, BBQ en andere dingen voor de zomervakantie in eigen huis. In juli betaal je de hoofdprijs.

Regio Utrecht 1850Wp@79° 3700Wp@259°


Acties:
  • 0 Henk 'm!

  • Cheezborger
  • Registratie: Februari 2010
  • Nu online
Met deze ontwikkelingen zal vakantie in eigen land onbetaalbaar worden gok ik. Wel goed voor de Nederlandse campings & parken natuurlijk. ;)

Acties:
  • 0 Henk 'm!

  • YakuzA
  • Registratie: Maart 2001
  • Niet online

YakuzA

Wat denk je nou zelluf hey :X

Met een 700k prikken per week gaat het wel hard genoeg om voor die tijd er doorheen te zijn idd.

Death smiles at us all, all a man can do is smile back.
PSN


Acties:
  • +1 Henk 'm!

  • cvs79
  • Registratie: April 2002
  • Laatst online: 14:46
hoevenpe schreef op woensdag 14 april 2021 @ 17:03:
[...]

Wat in ieder geval niet helpt is voor 10.000 man een feestje geven:

[...]

Wat denk je dat de gemiddelde Nederlander denkt als hij/zij dit ziet? Dat biertje met 8 vrienden in de achtertuin kan ook wel...
En ook nog een dikke slap in het gezicht van de horeca. Zo'n event midden in de binnenstand en dan mag je als horeca je handje ophouden voor een almoes. Snap wel dat die pissed zijn en op ook terrassen open gaan gooien.

Acties:
  • +4 Henk 'm!

  • Stoney3K
  • Registratie: September 2001
  • Laatst online: 01:22

Stoney3K

Flatsehats!

Ik word ook een beetje moe van elke keer dat uitstelgedrag van vaccineren.

Sure, je redt er misschien een leven mee, maar aan de andere kant loop je elke week dat je vertraagt steeds meer risico dat er een nieuwe mutant een grotere opmars maakt en je daardoor meer slachtoffers maakt.

Zet het daar maar neer! -- It's time to party like it's 1984 -- Soundcloud


Acties:
  • 0 Henk 'm!

  • franssie
  • Registratie: Februari 2000
  • Nu online

franssie

Save the albatross

Stoney3K schreef op woensdag 14 april 2021 @ 20:26:
Ik word ook een beetje moe van elke keer dat uitstelgedrag van vaccineren.

Sure, je redt er misschien een leven mee, maar aan de andere kant loop je elke week dat je vertraagt steeds meer risico dat er een nieuwe mutant een grotere opmars maakt en je daardoor meer slachtoffers maakt.
Precies dit. Vaccineren, wereld wijd en zsm. Oversterfte is er toch.


en heel cru gezegd, er lopen teveel mensen op deze planeet dus wat kan er fout gaan :+ })

franssie.bsky.social | 🎸 Niets is zo permanent als een tijdelijke oplossing | Een goed probleem komt nooit alleen | Gibson guitar Fender Guitar God Damn Guitar


Acties:
  • +2 Henk 'm!

  • giantgiantus
  • Registratie: Juni 2007
  • Laatst online: 19:54
franssie schreef op woensdag 14 april 2021 @ 20:29:
[...]

Precies dit. Vaccineren, wereld wijd en zsm. Oversterfte is er toch.


en heel cru gezegd, er lopen teveel mensen op deze planeet dus wat kan er fout gaan :+ })
Dan moet je vooral niet vaccineren ;)

Acties:
  • 0 Henk 'm!

  • Vuvuzela
  • Registratie: Februari 2002
  • Laatst online: 10:24

Vuvuzela

My spire is forming

giantgiantus schreef op woensdag 14 april 2021 @ 20:33:
[...]
Dan moet je vooral niet vaccineren ;)
Dan gaan we preventief ruimen. Ben ik ook best voor :>

I served in a company of heroes.


Acties:
  • +3 Henk 'm!

  • alexbl69
  • Registratie: Maart 2001
  • Laatst online: 15:47
Hoeveel meer zorg en/of vaccins hadden we wel niet kunnen kopen van 1 miljard :)

If buying doesn’t mean ownership Then pirating isn’t stealing / iRacing Profiel


Acties:
  • 0 Henk 'm!

  • giantgiantus
  • Registratie: Juni 2007
  • Laatst online: 19:54
alexbl69 schreef op woensdag 14 april 2021 @ 20:35:
Hoeveel meer zorg en/of vaccins hadden we wel niet kunnen kopen van 1 miljard :)
Waar komt toch het idee vandaan dat er geld tekort is. Nederland heeft praktisch gezien ongelimiteerd geld beschikbaar.

Acties:
  • +1 Henk 'm!

  • YakuzA
  • Registratie: Maart 2001
  • Niet online

YakuzA

Wat denk je nou zelluf hey :X

alexbl69 schreef op woensdag 14 april 2021 @ 20:35:
Hoeveel meer zorg en/of vaccins hadden we wel niet kunnen kopen van 1 miljard :)
Niet veel zorg iig? gezien we al 100 miljard aan zorgkosten uitgeven/maken is dat minder dan 1% ?
https://www.zorgwijzer.nl...and-naar-100-miljard-euro

Death smiles at us all, all a man can do is smile back.
PSN


Acties:
  • +3 Henk 'm!

  • franssie
  • Registratie: Februari 2000
  • Nu online

franssie

Save the albatross

Ik reageer even in het andere topic
SomerenV schreef op woensdag 14 april 2021 @ 20:58:
[...]

<>
En zo kun je nog wel even door gaan gok ik zo :+
yup - ik zit in het risico management en data analyse dus ik mis data. Al 15 maanden lang. Dat notabene het UK erachter kwam dat er een nieuwe variant was (met hun verfoeide NHS) was voor mij een schokkende constatering, we meten en weten dus in NL gewoon te weinig.
Ik sta achter de beperkingen en zie de noodzaak van de mij in gewetensnood brengende test maatschappij , maar het schuurt hard dat we nu nog niet kunnen sturen. Dat er om een paar doden twee vaccins worden afgeschreven die ik persoonlijk graag zou nemen. Het is een totaal ramp van bestuurlijke onkunde.

franssie.bsky.social | 🎸 Niets is zo permanent als een tijdelijke oplossing | Een goed probleem komt nooit alleen | Gibson guitar Fender Guitar God Damn Guitar


Acties:
  • 0 Henk 'm!

  • Yaksa
  • Registratie: December 2008
  • Laatst online: 20:45
Stoney3K schreef op woensdag 14 april 2021 @ 22:02:
[...]

Dus als die terrasminnende Nederlander in zijn ééntje op het terras gaat zitten in BE en de auto pakt zal er geen probleem zijn, maar gezien de aard van een terras is dat niet wat er gaat gebeuren.
Dus jij denkt dat, bijvoorbeeld, een terrasminnende student helemaal naar Grobbendonk gaat rijden om daar een Belgisch biertje te gaan drinken?
Ik denk dat die student gewoon zit te wachten tot zijn favo terras in Nederland weer opengaat. Die gaat echt niet helemaal naar België toe voor een pilsje.

Only two things are infinite, the universe and human stupidity, and I'm not sure about the former


Acties:
  • 0 Henk 'm!

  • Wolly
  • Registratie: Januari 2001
  • Niet online
Yaksa schreef op woensdag 14 april 2021 @ 22:38:
[...]

Dus jij denkt dat, bijvoorbeeld, een terrasminnende student helemaal naar Grobbendonk gaat rijden om daar een Belgisch biertje te gaan drinken?
Ik denk dat die student gewoon zit te wachten tot zijn favo terras in Nederland weer opengaat. Die gaat echt niet helemaal naar België toe voor een pilsje.
Een student zonder vervoer misschien wat minder, maar ik kan je op een briefje geven dat de groep van 25+ hier zeker gebruik van gaat maken.

Max 1,5 uurtje rijden vanuit de randstad :9

Acties:
  • +1 Henk 'm!

  • Yaksa
  • Registratie: December 2008
  • Laatst online: 20:45
franssie schreef op woensdag 14 april 2021 @ 21:34:
Dat er om een paar doden twee vaccins worden afgeschreven die ik persoonlijk graag zou nemen. Het is een totaal ramp van bestuurlijke onkunde.
Ik heb zo'n vermoeden dat de claimcultuur er achter zit (en niet bestuurlijke onkunde). Mensen worden toch enigszins gepushed om zich in te laten enten. Dan is het bij ernstige ziekte, orgaanfalen of de dood als bewijsbaar gevolg van dat vaccin redelijk makkelijk om een claim bij de fabrikant in te dienen.

Only two things are infinite, the universe and human stupidity, and I'm not sure about the former


Acties:
  • 0 Henk 'm!

  • maartend
  • Registratie: Augustus 2002
  • Laatst online: 21:12
Yaksa schreef op woensdag 14 april 2021 @ 22:38:
[...]

Dus jij denkt dat, bijvoorbeeld, een terrasminnende student helemaal naar Grobbendonk gaat rijden om daar een Belgisch biertje te gaan drinken?
Ik denk dat die student gewoon zit te wachten tot zijn favo terras in Nederland weer opengaat. Die gaat echt niet helemaal naar België toe voor een pilsje.
Ik durf je te garanderen dat de hele grensregio (Walcheren, Zuide Beveland, Zeeuws-vlaanderen) Onderkant van Brabant en heel Limburg) dat idd gaan doen. Maar niet allemaal naar Grobbedonk. Maar idd, avond op stap, uit eten, winkelen en nog op stap

Acties:
  • +3 Henk 'm!

  • Egocentrix
  • Registratie: Januari 2011
  • Laatst online: 16-09 17:56

Egocentrix

Parttime zeurkous

Ik denk dat een terrasminnende student een busje huurt, 8 vrienden belt, en met de hele club naar Grobbendonk rijdt. Terrasminnende studenten zijn óók toe aan vakantie ;)

Bron: ben zelf terrasminnend student, en hoewel ik genoeg verantwoordelijkheidsgevoel heb om niet naar België te gaan, ken ik genoeg mensen waarvan het me niet zou verbazen als ze het wel deden.

[ Voor 38% gewijzigd door Egocentrix op 14-04-2021 22:52 ]

The above message has been encrypted using a quadruple ROT13-algorithm. --- Bad grammar makes me sic.


Acties:
  • 0 Henk 'm!

  • hoevenpe
  • Registratie: Juni 2000
  • Laatst online: 21:24
maartend schreef op woensdag 14 april 2021 @ 22:44:
Ik durf je te garanderen dat de hele grensregio (Walcheren, Zuide Beveland, Zeeuws-vlaanderen) Onderkant van Brabant en heel Limburg) dat idd gaan doen.
In mijn oud-studenten appgroep is al een concreet plan langsgekomen, de randstad naar Antwerpen is uurtje met een paar leasebakken.

De enige probleem in onze discussie is de avondklok, je wilt niet voor 22u thuis zijn. Denk dat Nederland er niet aan ontkomt voor 8 mei de horeca te heropenen.

Regio Utrecht 1850Wp@79° 3700Wp@259°


Acties:
  • 0 Henk 'm!

  • franssie
  • Registratie: Februari 2000
  • Nu online

franssie

Save the albatross

Yaksa schreef op woensdag 14 april 2021 @ 22:44:
[...]

Ik heb zo'n vermoeden dat de claimcultuur er achter zit (en niet bestuurlijke onkunde). Mensen worden toch enigszins gepushed om zich in te laten enten. Dan is het bij ernstige ziekte, orgaanfalen of de dood als bewijsbaar gevolg van dat vaccin redelijk makkelijk om een claim bij de fabrikant in te dienen.
Zou ook kunnen. Maar ik wil een prik en teken dan wel een waiver / vrijwaring. Het wordt allemaal over onze hoofden besloten en of je nu voor of tegen vaccinatie bent nu, dat helpt niet.

franssie.bsky.social | 🎸 Niets is zo permanent als een tijdelijke oplossing | Een goed probleem komt nooit alleen | Gibson guitar Fender Guitar God Damn Guitar


Acties:
  • 0 Henk 'm!

  • maartend
  • Registratie: Augustus 2002
  • Laatst online: 21:12
hoevenpe schreef op woensdag 14 april 2021 @ 23:09:
[...]

Het ging over de Nederlandse avondklok, zolang die er is kom je na 22u niet thuis. Of je moet gelijk door tot 4u30.

Maar zonder gekheid, als Nederland geen vergelijkbare versoepeling doorvoert is imo het sluiten van de grenzen noodzakelijk. Zoals vorig jaar de Belgen andersom deden toen Nederland in hun ogen niet hard genoeg ingreep.
Ik snapte je, maar omdat de avondklok in Belgie verdwijnt kun je pas echt op stap.

en dat is dus iets dat ik zeker zi gaan gebeuren. NAchtje hotel in Antwerpen of Gent of Brugge, wknd weg, hoppa, iedereen los.
Ik maakte vroeger al mee hoe de bovenrivierders zich gedragen op bijv. de Gentse Feesten, dat zijn toch wel taferelen die ik verwacht

[ Voor 19% gewijzigd door maartend op 14-04-2021 23:26 ]


Acties:
  • 0 Henk 'm!

  • jadjong
  • Registratie: Juli 2001
  • Niet online
Antwerpen heeft genoeg hotels waar je vanwege de crisis voor de prijs van drie coctails pp kan overnachten. Dat moet na een jaar van 'kroeggeld' opsparen geen probleem zijn.

Acties:
  • 0 Henk 'm!

  • Yucon
  • Registratie: December 2000
  • Laatst online: 20:42

Yucon

*broem*

jadjong schreef op donderdag 15 april 2021 @ 01:50:
Antwerpen heeft genoeg hotels waar je vanwege de crisis voor de prijs van drie coctails pp kan overnachten. Dat moet na een jaar van 'kroeggeld' opsparen geen probleem zijn.
Als de kroegen daar wel open zijn en niet hier dan is de crisis voor wat betreft de hotels heel snel voorbij. Dat blijft dan niet zo goedkoop, maar daar overnachten zal hoe dan ook wel zijn wat er gaat gebeuren.

[ Voor 11% gewijzigd door Yucon op 15-04-2021 07:02 ]


Acties:
  • +2 Henk 'm!

  • xzaz
  • Registratie: Augustus 2005
  • Laatst online: 10-10 08:58
Leuk om de geschiedenis er nog even bij te pakken en berichten van vorig jaar te quoten?

https://nos.nl/artikel/23...en-niet-in-draaiboek.html
De gezondheidsautoriteiten in Nederland denken nog steeds dat de verspreiding van het coronavirus onder controle kan worden gebracht,
De Gouw benadrukte dat het risico om besmet te raken zeer klein is. "We moeten niet vergeten dat het in Brabant om 34 besmettingen gaat op 2,5 miljoen mensen. Het risico is klein en we proberen het nog kleiner te maken. Maar we gaan niet zo ver als sommige andere landen waar je beboet wordt als je buiten de deur komt."
Oe.
Van patiënten van buiten Noord-Brabant is van iedereen bekend hoe ze besmet zijn geraakt: door een bezoek aan een risicogebied in het buitenland of door contact met iemand die daar besmet is geraakt. "We hebben geen enkele aanwijzing dat het virus buiten de provincie Brabant vrij voorkomt", aldus De Gouw.
En als snel waren er meer:

https://nos.nl/artikel/23...mersfoort-en-haarlem.html

Schiet tussen de palen en je scoort!


Acties:
  • +2 Henk 'm!

  • LZ86
  • Registratie: Januari 2014
  • Laatst online: 18:56
maartend schreef op woensdag 14 april 2021 @ 23:25:
[...]

Ik snapte je, maar omdat de avondklok in Belgie verdwijnt kun je pas echt op stap.

en dat is dus iets dat ik zeker zi gaan gebeuren. NAchtje hotel in Antwerpen of Gent of Brugge, wknd weg, hoppa, iedereen los.
Ik maakte vroeger al mee hoe de bovenrivierders zich gedragen op bijv. de Gentse Feesten, dat zijn toch wel taferelen die ik verwacht
Toen Belgie dicht was en wij nog niet stonden die Belgen hier ook in Rotterdam, Breda en Rozendaal te hossen.

Nu krijgen ze m waarschijnlijk wel keihard terug :P

Acties:
  • 0 Henk 'm!

  • Yucon
  • Registratie: December 2000
  • Laatst online: 20:42

Yucon

*broem*

LZ86 schreef op donderdag 15 april 2021 @ 09:28:
[...]

Toen Belgie dicht was en wij nog niet stonden die Belgen hier ook in Rotterdam, Breda en Rozendaal te hossen.

Nu krijgen ze m waarschijnlijk wel keihard terug :P
Ja het erge was ook nog dat ze hier vervolgens Belgische biertjes stonden te drinken :')

Acties:
  • +1 Henk 'm!

  • BarôZZa
  • Registratie: Januari 2003
  • Laatst online: 12:57
xzaz schreef op donderdag 15 april 2021 @ 09:23:
Leuk om de geschiedenis er nog even bij te pakken en berichten van vorig jaar te quoten?

https://nos.nl/artikel/23...en-niet-in-draaiboek.html


[...]


[...]
Oe.


[...]


En als snel waren er meer:

https://nos.nl/artikel/23...mersfoort-en-haarlem.html
Vergeet niet de artikelen over dat we in Nederland de beste experts van de wereld zouden hebben als corona naar ons land zou komen. En daarna dat je alleen besmettelijk zou zijn als je klachten had, in je elleboog hoesten was dan voldoende. En daarna de artikelen dat onze aanpak de beste van de wereld was met Van Dissel en Rutte als grote helden.

Er zijn maar weinig landen met een droeviger beleid.

Acties:
  • 0 Henk 'm!

  • Metro2002
  • Registratie: Augustus 2002
  • Laatst online: 10-10 22:41

Metro2002

Memento mori

hoevenpe schreef op woensdag 14 april 2021 @ 22:56:
[...]

In mijn oud-studenten appgroep is al een concreet plan langsgekomen, de randstad naar Antwerpen is uurtje met een paar leasebakken.

De enige probleem in onze discussie is de avondklok, je wilt niet voor 22u thuis zijn. Denk dat Nederland er niet aan ontkomt voor 8 mei de horeca te heropenen.
In de auto bevindt je je toch niet in de buitenlucht? ;)

Acties:
  • +7 Henk 'm!

  • alexbl69
  • Registratie: Maart 2001
  • Laatst online: 15:47
Metro2002 schreef op donderdag 15 april 2021 @ 10:56:
[...]


In de auto bevindt je je toch niet in de buitenlucht? ;)
@hoevenpe op weg naar België...

Afbeeldingslocatie: https://tweakers.net/i/jcbImVMKDj_1DrVCVpXeVmK8hkI=/full-fit-in/4920x3264/filters:max_bytes(3145728):no_upscale():fill(white):strip_exif()/f/image/rYg1f05lCyMSj54ZtVvVvHOH.webp?f=user_large

If buying doesn’t mean ownership Then pirating isn’t stealing / iRacing Profiel


Acties:
  • +3 Henk 'm!

  • LZ86
  • Registratie: Januari 2014
  • Laatst online: 18:56
https://nos.nl/artikel/23...st-stapje-dichterbij.html

Denk dat deze test uitermate geschikt is voor NL. Want we zijn in 1 ding rete goed. Schreeuwen hoe het anders moet.

Wat een geniale uitvinding. Ik zou me bijna dagelijks laten testen als dit ding er straks is.

Acties:
  • 0 Henk 'm!

  • Woy
  • Registratie: April 2000
  • Niet online

Woy

Moderator Devschuur®
LZ86 schreef op donderdag 15 april 2021 @ 11:16:
https://nos.nl/artikel/23...st-stapje-dichterbij.html

Denk dat deze test uitermate geschikt is voor NL. Want we zijn in 1 ding rete goed. Schreeuwen hoe het anders moet.

Wat een geniale uitvinding. Ik zou me bijna dagelijks laten testen als dit ding er straks is.
Ik vraag mij af wat ze dan precies testen, want ik neem aan dat het niet van het geluid zelf komt, maar gewoon uit de lucht. Dus dan lijkt de blaastest die ook bestaat mij makkelijker dan een dergelijk grote cabine.

“Build a man a fire, and he'll be warm for a day. Set a man on fire, and he'll be warm for the rest of his life.”


Acties:
  • 0 Henk 'm!

  • LZ86
  • Registratie: Januari 2014
  • Laatst online: 18:56
Woy schreef op donderdag 15 april 2021 @ 11:22:
[...]

Ik vraag mij af wat ze dan precies testen, want ik neem aan dat het niet van het geluid zelf komt, maar gewoon uit de lucht. Dus dan lijkt de blaastest die ook bestaat mij makkelijker dan een dergelijk grote cabine.
Ja, maar niet zo leuk ;)

Het gaat inderdaad om het meten van virusdeeltjes in aerosolen.

Acties:
  • 0 Henk 'm!

  • Cheezborger
  • Registratie: Februari 2010
  • Nu online
Betaal je € 399,= voor een proefvakantie naar Rhodos, zit het weer wel een beetje tegen (bewolking).

Afbeeldingslocatie: https://tweakers.net/i/C0kFOYZUwZBdtKr7zZyeeMcYxiY=/full-fit-in/4000x4000/filters:no_upscale():fill(white):strip_exif()/f/image/7dcyozoWYMOVzCEuKAzRWZtB.png?f=user_large

Acties:
  • 0 Henk 'm!

  • Napo
  • Registratie: Augustus 2006
  • Niet online
xzaz schreef op donderdag 15 april 2021 @ 09:23:
Leuk om de geschiedenis er nog even bij te pakken en berichten van vorig jaar te quoten?

https://nos.nl/artikel/23...en-niet-in-draaiboek.html


[...]


[...]
Oe.


[...]


En als snel waren er meer:

https://nos.nl/artikel/23...mersfoort-en-haarlem.html
Hindsight is 20/20. Achteraf is het altijd een stuk gemakkelijker om aan te wijzen wat er foutief is geweest aan uitspraken dan dat het vooraf is. Reflecteren heeft zeker nut maar op zo'n manier schiet je er echter bijzonder weinig mee op.

Acties:
  • +1 Henk 'm!

  • vuurtjih
  • Registratie: April 2015
  • Laatst online: 15:24
Cheezborger schreef op donderdag 15 april 2021 @ 12:41:
Betaal je € 399,= voor een proefvakantie naar Rhodos, zit het weer wel een beetje tegen (bewolking).

[Afbeelding]
Ach, ze mogen toch niet in zee of buiten het resort. Zuipen kan prima met zo'n temperatuurtje :+

1+12 | Polo 6R BlueGT 140PK | PS5


Acties:
  • 0 Henk 'm!

  • Lethalis
  • Registratie: April 2002
  • Niet online
LZ86 schreef op donderdag 15 april 2021 @ 11:16:
https://nos.nl/artikel/23...st-stapje-dichterbij.html

Denk dat deze test uitermate geschikt is voor NL. Want we zijn in 1 ding rete goed. Schreeuwen hoe het anders moet.

Wat een geniale uitvinding. Ik zou me bijna dagelijks laten testen als dit ding er straks is.
Ik vraag me vooral af hoe de kabine zichzelf schoont na elke bezoeker. Wordt de lucht dan afgezogen of iets?

Ask yourself if you are happy and then you cease to be.


Acties:
  • +5 Henk 'm!

  • cvs79
  • Registratie: April 2002
  • Laatst online: 14:46
Lethalis schreef op donderdag 15 april 2021 @ 14:30:
[...]

Ik vraag me vooral af hoe de kabine zichzelf schoont na elke bezoeker. Wordt de lucht dan afgezogen of iets?
Als je positief test sluiten de deuren en klapt de grond weg. Je komt dan automatisch in de quarantaine kelder via een glijbaan :+

Acties:
  • 0 Henk 'm!

  • Grotbewoner
  • Registratie: Maart 2015
  • Laatst online: 06-10 10:00
Welke landen zouden goede kandidaten zijn voor een vaccinatievakantie? Dus op vakantie en ter plekke een vaccin krijgen.

Acties:
  • 0 Henk 'm!

  • YakuzA
  • Registratie: Maart 2001
  • Niet online

YakuzA

Wat denk je nou zelluf hey :X

Grotbewoner schreef op donderdag 15 april 2021 @ 14:34:
Welke landen zouden goede kandidaten zijn voor een vaccinatievakantie? Dus op vakantie en ter plekke een vaccin krijgen.
Dubai/Bahrein oid doet dat al toch?

Death smiles at us all, all a man can do is smile back.
PSN


Acties:
  • 0 Henk 'm!

  • zacht
  • Registratie: Januari 2006
  • Niet online
Grotbewoner schreef op donderdag 15 april 2021 @ 14:34:
Welke landen zouden goede kandidaten zijn voor een vaccinatievakantie? Dus op vakantie en ter plekke een vaccin krijgen.
Servië

https://www.ed.nl/eindhov...naar-regelt-het~a23bf6c2/

Acties:
  • 0 Henk 'm!

  • YakuzA
  • Registratie: Maart 2001
  • Niet online

YakuzA

Wat denk je nou zelluf hey :X

Zozo, ik hoop dat je voor de 1300eu wel zelf kan kiezen of je pfizer,moderna,az of sputnik in je arm krijgt?

Death smiles at us all, all a man can do is smile back.
PSN


Acties:
  • +3 Henk 'm!

  • Sorcerer8472
  • Registratie: Januari 2002
  • Laatst online: 19:37

Sorcerer8472

Mens sana?

Gaan ze op 15 mei de quarantaineplicht een keer invoeren. Lekker op tijd joh. 8)7

Ruim een half jaar geleden waren er al berichten in de media dat die regel zou komen, en nu wordt het dus 15 mei, als alle andere maatregelen serieus versoepeld worden doordat groepsimmuniteit door vaccinatie dat toelaat. Dat betekent automatisch ook dat de impact van een binnenkomend besmet geval veel lager is.

Dus op het moment dat het het minst uitmaakt, voert men dit in. Ik vind het echt beyond achterlijk weer. Had veel eerder moeten gebeuren, en nu kan men het m.i. net zo goed achterwege laten.

Ben ook wel benieuwd of je met een vaccinatie eraan kan ontkomen, lijkt me op zich wel logisch. Maar de onkunde van het kabinet kennende, gok ik van niet. :')

Reality is merely an illusion, albeit a very persistent one.


Acties:
  • 0 Henk 'm!

  • RodeStabilo
  • Registratie: December 2013
  • Niet online
Sorcerer8472 schreef op donderdag 15 april 2021 @ 15:49:
Gaan ze op 15 mei de quarantaineplicht een keer invoeren. Lekker op tijd joh. 8)7

Ruim een half jaar geleden waren er al berichten in de media dat die regel zou komen, en nu wordt het dus 15 mei, als alle andere maatregelen serieus versoepeld worden doordat groepsimmuniteit door vaccinatie dat toelaat. Dat betekent automatisch ook dat de impact van een binnenkomend besmet geval veel lager is.

Dus op het moment dat het het minst uitmaakt, voert men dit in. Ik vind het echt beyond achterlijk weer. Had veel eerder moeten gebeuren, en nu kan men het m.i. net zo goed achterwege laten.

Ben ook wel benieuwd of je met een vaccinatie eraan kan ontkomen, lijkt me op zich wel logisch. Maar de onkunde van het kabinet kennende, gok ik van niet. :')
Ach, de boete van 95 euro houdt ook niemand tegen.... :o

Acties:
  • 0 Henk 'm!

  • Flix20
  • Registratie: Oktober 2011
  • Laatst online: 10-10 21:23
Sorcerer8472 schreef op donderdag 15 april 2021 @ 15:49:
Gaan ze op 15 mei de quarantaineplicht een keer invoeren. Lekker op tijd joh. 8)7

Ruim een half jaar geleden waren er al berichten in de media dat die regel zou komen, en nu wordt het dus 15 mei, als alle andere maatregelen serieus versoepeld worden doordat groepsimmuniteit door vaccinatie dat toelaat. Dat betekent automatisch ook dat de impact van een binnenkomend besmet geval veel lager is.

Dus op het moment dat het het minst uitmaakt, voert men dit in. Ik vind het echt beyond achterlijk weer. Had veel eerder moeten gebeuren, en nu kan men het m.i. net zo goed achterwege laten.

Ben ook wel benieuwd of je met een vaccinatie eraan kan ontkomen, lijkt me op zich wel logisch. Maar de onkunde van het kabinet kennende, gok ik van niet. :')
Sja, dan krijg je weer dat huilie huilie dat de overheid je niets kan verplichten, vrijheidsberoving, "het lijkt weer 40-45!!1!!1!1!" etc etc.

PSN: Flix20-NL


Acties:
  • 0 Henk 'm!

  • zacht
  • Registratie: Januari 2006
  • Niet online
YakuzA schreef op donderdag 15 april 2021 @ 15:40:
[...]

Zozo, ik hoop dat je voor de 1300eu wel zelf kan kiezen of je pfizer,moderna,az of sputnik in je arm krijgt?
AstraZeneca, Pfizer/BioNTech, Sputnik of Sinopharm. Daar hebben ze genoeg van. Formulier invullen en gaan.

https://nos.nl/l/2375503

Acties:
  • 0 Henk 'm!

  • YakuzA
  • Registratie: Maart 2001
  • Niet online

YakuzA

Wat denk je nou zelluf hey :X

Sorcerer8472 schreef op donderdag 15 april 2021 @ 15:49:
Gaan ze op 15 mei de quarantaineplicht een keer invoeren. Lekker op tijd joh. 8)7

Ruim een half jaar geleden waren er al berichten in de media dat die regel zou komen, en nu wordt het dus 15 mei, als alle andere maatregelen serieus versoepeld worden doordat groepsimmuniteit door vaccinatie dat toelaat. Dat betekent automatisch ook dat de impact van een binnenkomend besmet geval veel lager is.

Dus op het moment dat het het minst uitmaakt, voert men dit in. Ik vind het echt beyond achterlijk weer. Had veel eerder moeten gebeuren, en nu kan men het m.i. net zo goed achterwege laten.

Ben ook wel benieuwd of je met een vaccinatie eraan kan ontkomen, lijkt me op zich wel logisch. Maar de onkunde van het kabinet kennende, gok ik van niet. :')
Ik zie dat je (en ook flink wat anderen) iig niet door hebt hoe moeilijk zo'n quarantaine plicht met onze grondwet te verenigen is :)

Death smiles at us all, all a man can do is smile back.
PSN


Acties:
  • 0 Henk 'm!

  • Sorcerer8472
  • Registratie: Januari 2002
  • Laatst online: 19:37

Sorcerer8472

Mens sana?

YakuzA schreef op donderdag 15 april 2021 @ 15:58:
[...]

Ik zie dat je (en ook flink wat anderen) iig niet door hebt hoe moeilijk zo'n quarantaine plicht met onze grondwet te verenigen is :)
Er is aan de grondwet vrij weinig veranderd in de afgelopen tijd, en aan de spoedwet ook geloof ik? Dus...?

Inmiddels gaat het de kant op dat het door veranderende omstandigheden een onevenredig zwaar middel begint te worden, zeker zo lang het "u gaat in quarantaine"-advies bij vrijwel elk land ter wereld staat, ook als de besmettingsaantallen fors lager dan in NL zijn.

Verder ben ik ook wel benieuwd hoe dit zit voor gevaccineerde mensen.

Reality is merely an illusion, albeit a very persistent one.


Acties:
  • 0 Henk 'm!

  • Dennis1812
  • Registratie: Mei 2011
  • Laatst online: 21:32

Dennis1812

Amateur prutser

https://nos.nl/l/2376779#UPDATE-container-52460934

Echt bizar. Ben benieuwd naar de Nederlandse cijfers.
Van 1600 naar 4.7miljoen..

Volgens mijn dokter ben ik een heel zeldzaam geval. Deal with it.


Acties:
  • +7 Henk 'm!

  • hoevenpe
  • Registratie: Juni 2000
  • Laatst online: 21:24
Heeft Nederland zin in een feestje?
Ruim 1 miljoen tickets aangevraagd voor 'Oranjefeest' 538

Het grootse Fieldlab-evenement tot nu toe, 538 Oranjedag, is uitverkocht. Na de aankondiging dinsdagavond werden er in totaal meer dan 1 miljoen tickets aangevraagd. Er waren 10.000 kaarten beschikbaar. De tickets zijn afgelopen dagen toegekend door middel van loting, maakte 538 donderdag bekend.

OMT-lid en epidemioloog Jan Kluytmans is bezorgd over de mogelijke besmettingen die het grote aantal bezoekers met zich meebrengt. "Ik vind tienduizend mensen een hele grote stap. Met testen haal je er een heleboel positieven uit, maar niet allemaal, daar zullen tientallen mensen tussen lopen die besmettelijk zijn. Ik ben daar toch bezorgd over. Vanuit het bestrijdingsperspectief vind ik dat risicovol", aldus Kluytmans op BNR.
En ondertussen mag je niet met 2 personen tegelijk bij iemand op bezoek? 8)7

Regio Utrecht 1850Wp@79° 3700Wp@259°


Acties:
  • +1 Henk 'm!

  • IJzerlijm
  • Registratie: Mei 2000
  • Niet online

IJzerlijm

Is net nieuw

Er wordt opgeroepen het niet te doen maar je huis is zo heilig als de kerk, je kan 150 mensen uitnodigen en tenzij er overlast is kan de politie daar niks tegen doen.

And to think they once said that computers would take away jobs.


Acties:
  • +1 Henk 'm!

  • YakuzA
  • Registratie: Maart 2001
  • Niet online

YakuzA

Wat denk je nou zelluf hey :X

Dennis1812 schreef op donderdag 15 april 2021 @ 21:39:
https://nos.nl/l/2376779#UPDATE-container-52460934

Echt bizar. Ben benieuwd naar de Nederlandse cijfers.
Van 1600 naar 4.7miljoen..
Goeie om in het achterhoofd te houden als iemand weer probeert te beweren dat Corona niet zo gevaarlijk is voor jongere mensen.

Al die uitgestelde behandelingen zullen ook aardig wat mensen <60 treffen.

Death smiles at us all, all a man can do is smile back.
PSN


Acties:
  • 0 Henk 'm!

  • Dennis1812
  • Registratie: Mei 2011
  • Laatst online: 21:32

Dennis1812

Amateur prutser

YakuzA schreef op donderdag 15 april 2021 @ 22:22:
[...]

Goeie om in het achterhoofd te houden als iemand weer probeert te beweren dat Corona niet zo gevaarlijk is voor jongere mensen.

Al die uitgestelde behandelingen zullen ook aardig wat mensen <60 treffen.
Ik schrok echt van die cijfers. Wist dat het enorm veel was en ook hier is. Maar dit is echt bizar.

Treft sowieso 1 iemand onder <60. Mijzelf namelijk 😅

Volgens mijn dokter ben ik een heel zeldzaam geval. Deal with it.


Acties:
  • +1 Henk 'm!

  • R.van.M
  • Registratie: December 2009
  • Laatst online: 21:16
Sorcerer8472 schreef op donderdag 15 april 2021 @ 15:49:
Gaan ze op 15 mei de quarantaineplicht een keer invoeren. Lekker op tijd joh. 8)7

Ruim een half jaar geleden waren er al berichten in de media dat die regel zou komen, en nu wordt het dus 15 mei, als alle andere maatregelen serieus versoepeld worden doordat groepsimmuniteit door vaccinatie dat toelaat. Dat betekent automatisch ook dat de impact van een binnenkomend besmet geval veel lager is.

Dus op het moment dat het het minst uitmaakt, voert men dit in. Ik vind het echt beyond achterlijk weer. Had veel eerder moeten gebeuren, en nu kan men het m.i. net zo goed achterwege laten.

Ben ook wel benieuwd of je met een vaccinatie eraan kan ontkomen, lijkt me op zich wel logisch. Maar de onkunde van het kabinet kennende, gok ik van niet. :')
Het is denk ik vooral bedoeld voor de situatie dat dadelijk de meeste landen weer laag risico zijn met uitzondering van een paar brandhaarden

Acties:
  • 0 Henk 'm!

  • Cobb
  • Registratie: December 2005
  • Laatst online: 10-10 17:16
Wij zijn na maart 2020 een tweede maal aan de beurt. Dinsdag is mijn zoontje positief getest (1x sneltest Kruidvat en 1x GGD). Hij zou vanaf zaterdag al besmettelijk zijn geweest in huis. Wij testen gisteren allemaal negatief . Mijn zoontje is thuis niet in quarantaine en beweegt zich vrij door de woning. Ik verwacht uiteraard nog wel dat op zijn minst een van ons nog positief test. Wij zijn voornemens om ons volgende week dinsdag nog eens te laten testen.

Op school was het weekend ervoor 1 kindje in zijn klas positief getest. Hij zit aan de andere kant van de klas en heeft weinig contact met het meisje. De hele klas is woensdag negatief getest.

De GGD noteert dat hij de besmet is via de ouders omdat het niet waarschijnlijk is dat hij het in de klas heeft opgelopen..

Maar wij testen allemaal negatief. Volgens de GGD blijft het virus 12 weken in het bloed en test hij nog 12 weken positief. Hoe in hemelsnaam kan hij dan het virus hebben opgelopen van ons?
Hij is een loner, en heeft die week ervoor alleen maar thuis geweest.

Blijf het bijzonder vinden.

Edit: vanavond sneltest van mijn vrouw positief.

U don't get it boy, this isn't a mudhole. It's an operating table. And I'm the surgeon.


Acties:
  • +4 Henk 'm!

  • xzaz
  • Registratie: Augustus 2005
  • Laatst online: 10-10 08:58
https://www.zuyderland.nl...pen-brief-van-zuyderland/
Beste minister, leden van de Gezondheidsraad en het RIVM,

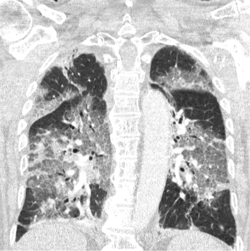
Vandaag namen wij de eerste patiënt op in ons ziekenhuis die het Astra-Zeneca-vaccin had geweigerd na alle commotie in de pers. We hoorden de enorme spijt in zijn stem en zagen de wanhoop in zijn ogen. Het virus had hem geveld en dit had wellicht niet gehoeven. Met zijn instemming delen wij hier zijn longscan. Je hoeft geen longarts te zijn om de verwoestingen te herkennen. Je hoeft ook geen epidemioloog te zijn om de risico’s van niet-vaccineren te duiden. Het risico op ernstige schade door COVID-19 is tien keer hoger voor 40 jarigen, en zeventig keer voor 60 jarigen, dan het risico op ernstige schade door trombose als gevolg van het vaccin.

Al ruim een jaar trekken wij in Zuyderland elke dag ten strijde tegen het virus. Daarnaast zetten we ons in voor al die andere patiënten met kanker of andere ziekten. We hebben nu ruim 3000 coronapatiënten in zorg gehad, en terwijl u met de experts discussieert over het stapsgewijs heropenen van de samenleving om perspectief te bieden, zien wij nog elke dag de enorme gevolgen van deze ziekte. Niet alleen onze patiënten, ook onze medewerkers worden getroffen door de pandemie. Regelmatig worden collega’s ziek, raken uitgeput en niet zelden volledig arbeidsongeschiktheid. Dagelijks leggen onze medisch specialisten aan al hun patiënten uit dat vaccineren écht belangrijk en écht veilig is. Zo hopen ze bij te dragen aan het creëren van vertrouwen en tegenwicht te bieden aan alle verwarring in de pers. Wij hebben dan ook met verbijstering kennisgenomen van de politieke besluitvorming rond de vaccins van Astra Zeneca en Janssen.

Beste minister, wij kunnen niet langer wachten. Geen dag langer. Onze IC’s liggen vol met dertigers, veertigers en vijftigers. Door ziekteverzuim en uitputting krijgen we de planning niet meer rond. Medewerkers stellen de terechte vraag waarom zij zorg moeten blijven leveren zonder adequate bescherming, en dat terwijl de vaccins liggen te wachten in de koelkast. Gisteren in het nieuws: ‘Opschalen tot 1550 IC-bedden gaat waarschijnlijk niet lukken’. Wij vergaderen dagelijks over hoe we code-zwart kunnen voorkomen. Elke dag langer wachten betekent voor ons dat het moeilijker en moeilijker wordt om de gevraagde zorg te leveren en de moraal hoog te houden. En dan hebben we het nog niet gehad over de ruim 5000 ingrepen die nog ingehaald moeten worden in ons ziekenhuis. Ingrepen bij patiënten met borstkanker en darmkanker die uitgesteld worden omdat onze IC’s vol liggen.

Wilt u alstublieft stoppen met dralen en onrust zaaien, met insinueren dat u veiligheid biedt door alles eerst goed uit te laten zoeken? De cijfers die de voordelen van massavaccinatie aantonen zijn overweldigend. Ze liegen echt niet. Laten we dan landelijk de maximale vaart erin brengen! Laat mensen zelf de keuze of ze een situatie als die waarin onze patiënt is beland, willen vermijden. Laten we er samen voor zorgen dat onze medewerkers naar behoren zijn toegerust om hun uitzonderlijk zware taak kunnen blijven volbrengen door ze nog vandaag te beschermen met een vaccin.

Het is nu tijd om te laten zien dat u daadwerkelijk gelooft in uw zorghelden. Astra-Zeneca, Janssen of welk vaccin dan ook: wij willen prikken in plaats van eindeloos debatteren of het advies van de Gezondheidsraad nu wel of niet deugt. Net zoals een meerderheid van de Tweede Kamer pleiten wij voor vrijwillige vaccinatie op basis van ‘informed consent’. Wij overwegen dan ook serieus om vanaf aanstaande maandag de paar honderd Astra-Zeneca vaccins die nog in de koeling liggen te wachten, aan te bieden aan medewerkers en dokters.

Wij hebben als professionals een zorgplicht jegens patiënten en collega’s. Die zorgplicht weegt zwaar! Niets doen en afwachten leidt tot meer, niet tot minder schade. En aan vermijdbare schade werken wij in Zuyderland niet langer willens en wetens mee.

Namens Zuyderland,
Medisch Specialisten, Chief Nursing Officer en Raad van Bestuur
Afbeeldingslocatie: https://tweakers.net/i/T78Qiew3rkdWx4i9lqYhrPRWhlM=/x800/filters:strip_exif()/f/image/0YHkKgcorHl3a3AIpsGACNlr.png?f=fotoalbum_large

[ Voor 3% gewijzigd door xzaz op 16-04-2021 14:06 ]

Schiet tussen de palen en je scoort!


Acties:
  • 0 Henk 'm!

  • TrailBlazer
  • Registratie: Oktober 2000
  • Laatst online: 09-10 10:28

TrailBlazer

Karnemelk FTW

Voor het eerst ook twee klassen bij ons de school van onze kinderen naar huis. Zeker met de hoge cijfers van vandaag word ik wel moedeloos van. Ga nou gewoon prikken met AZ van 50-60

Acties:
  • +1 Henk 'm!

  • YakuzA
  • Registratie: Maart 2001
  • Niet online

YakuzA

Wat denk je nou zelluf hey :X

Het paniek zaaien gebeurt vooral vanuit de media, denk dat hij beter tegen die boom aan kan blaffen ipv de overheid.

Death smiles at us all, all a man can do is smile back.
PSN


Acties:
  • +1 Henk 'm!

  • Vuvuzela
  • Registratie: Februari 2002
  • Laatst online: 10:24

Vuvuzela

My spire is forming

TrailBlazer schreef op vrijdag 16 april 2021 @ 15:28:
Voor het eerst ook twee klassen bij ons de school van onze kinderen naar huis. Zeker met de hoge cijfers van vandaag word ik wel moedeloos van. Ga nou gewoon prikken met AZ van 50-60
Die scholen hadden ze nooit moeten openen.. Volgens mij heeft elke school nu ondertussen wel zo'n klas gehad :X

I served in a company of heroes.


Acties:
  • +8 Henk 'm!

  • TrailBlazer
  • Registratie: Oktober 2000
  • Laatst online: 09-10 10:28

TrailBlazer

Karnemelk FTW

Vuvuzela schreef op vrijdag 16 april 2021 @ 15:41:
[...]

Die scholen hadden ze nooit moeten openen.. Volgens mij heeft elke school nu ondertussen wel zo'n klas gehad :X
Wij waren echt gillend gek geworden van nog langer kinderen thuis en dan denk ik ook dat de jongste nog een jaar groep 2 had mogen doen. Ik begrijp het openen heel goed als ik eerlijk ben.

Acties:
  • +2 Henk 'm!

  • loki504
  • Registratie: Januari 2012
  • Laatst online: 20:18
Vuvuzela schreef op vrijdag 16 april 2021 @ 15:41:
[...]

Die scholen hadden ze nooit moeten openen.. Volgens mij heeft elke school nu ondertussen wel zo'n klas gehad :X
Nee hoor. Mijn zoontje zit op speciaal onderwijs. En daar krijgen we af en toe een melding dat er een individueel besmet is maar daar blijft het bij. Het voordeel is wel dat hij met 12 andere kinderen in de klas zit.
En ouders nemen op het schoolplein allemaal afstand van elkaar. Kijk ik maar scholen om mij heen dan zijn die gewoon te groot om ongeorganiseerd open te gaan. Had in ieder geval de helft om 8:30 laten beginnen de andere helft 9:00. En eventueel de eerst helft van de klas maandag en dinsdag naar school laten gaan de andere helft donderdag en vrijdag. Dan hadden kinderen stabiliteit gekregen maar was het aantal ouder op 1 plek te overzien. Voor mijn kind was het bij voorbeeld extreem belangrijk dat hij naar school ging. De eerst lockdown was het via zoom les volgen geen goed idee. De 2de lockdown moesten wij voor jus/meester spelen. Ook dit pakte voor hem niet goed uit.

Dus nee niet open doen was geen optie. Meer verspreiden en een laden/lossen systeem had mogelijk wel een uitkomst geweest.

Acties:
  • 0 Henk 'm!

  • Cobb
  • Registratie: December 2005
  • Laatst online: 10-10 17:16
Vuvuzela schreef op vrijdag 16 april 2021 @ 15:41:
[...]

Die scholen hadden ze nooit moeten openen.. Volgens mij heeft elke school nu ondertussen wel zo'n klas gehad :X
Onze school al 5x
Wij zitten nu thuis met twee positieven, ik en mijn vrouw komen nagenoeg nergens meer de afgelopen maanden. Werken volledig thuis, alleen de boodschappen nog en af en toe een winkel. Allemaal voor niets. Is sinds maart 2020 onze tweede Corona feestje.

U don't get it boy, this isn't a mudhole. It's an operating table. And I'm the surgeon.


Acties:
  • +2 Henk 'm!

  • pedorus
  • Registratie: Januari 2008
  • Niet online
Dennis1812 schreef op donderdag 15 april 2021 @ 21:39:
https://nos.nl/l/2376779#UPDATE-container-52460934

Echt bizar. Ben benieuwd naar de Nederlandse cijfers.
Van 1600 naar 4.7miljoen..
Ja, dit is precies waar in de UK een professor als Karol Sikora voor heeft gewaarschuwd. Door het vreemde beleid waarbij corona voorrang krijgt en de rest verdrukt, delven grotere gezondheidszaken als hart- en vaatziekten en kanker het onderspit. Alsof een coronadode erger is dan een kankerdode, terwijl kankerdoden veel jonger zijn en vaker voorkomen (ook in 2020).

Ook in Nederland maakt het kabinet zeer actieve beleidskeuzes hierin, waarbij vervolgens net wordt gedaan alsof het virus beslist. Zo geven we wel miljarden uit aan testen en lockdowns. Echter, er wordt zeer actief voor gekozen om niet in te zetten op het opschalen van de zorg, proberen van gerichte preventie, vroegtijdige medicatie, en zelfzorg thuis. Zuurstof bijvoorbeeld kan ook thuis, dat zou een hoop ziekenhuisopnames schelen (en onderzoek laat daarnaast zien dat het toedienen soms niet nodig is en zelfs schadelijk kan zijn). Wellicht valt er dan een toch een extra coronadode omdat de monitoring thuis slechter is, maar liever 1 oude coronadode meer dan 10 jonge kankerdoden erbij.

Het zijn dus niet jongeren die schuldig zijn door normaal gedrag te vertonen, het lijkt me meer een ziek beleid waar jongeren het slachtoffer van zijn.

Vitamine D tekorten in Nederland | Dodelijk coronaforum gesloten


Acties:
  • 0 Henk 'm!

  • Laguna
  • Registratie: Augustus 2000
  • Laatst online: 21:39

Laguna

Connaisseur

Zou knap lullig zijn voor de mensen die een paar duizend euro hebben neergelegd voor een kaartje, mocht het feest straks niet doorgaan.

Antec Solo * Corsair HX-650 * Gigabyte EP45-UD3R * Intel Core2Duo E8400 * 4x Kingston 2GB DDR2 PC6400 * Intel Postville 80GB SSD * 4x WD5000AAKS 500GB raid5 * Sony Optiarc AD-7240S * Sapphire HD 5750 Vapor-X * Acer P235H


Acties:
  • +2 Henk 'm!

  • PalingDrone
  • Registratie: September 2017
  • Niet online
Laguna schreef op zondag 18 april 2021 @ 00:17:
[...]


Zou knap lullig zijn voor de mensen die een paar duizend euro hebben neergelegd voor een kaartje, mocht het feest straks niet doorgaan.
Eurootje of 35 toch zo'n kaartje?
Wat je daar dan zelf voor neer gaat leggen is lekker helemaal jouw probleem, succes met je 1000+ euro terugvragen bij een onderhandse kaartverkoper/opkoper.
Mooie belasting op domheid dat soort bedragen :)

Blijkbaar is het gewoon handel en is dat Fieldlab met hun mega budget niet slim genoeg om die kaarten persoonlijk te maken, lijkt wel alsof ze voor het eerst ticketverkoop doen..
Het enige wat zie hiermee kunnen bewijzen is dat er een levendige zwarthandel in kaartjes bestaat, maargoed dat wist iedereen al, daar hebben we geen overheidsclubje voor nodig.

Sowieso, biedingen op marktplaats serieus nemen :')
Er hebben er flink wat lekker lopen trollen vandaag, en ook een paar leuk lopen verdienen aan deze ticketrun.

Acties:
  • +1 Henk 'm!

  • IceM
  • Registratie: Juni 2003
  • Laatst online: 07:14
PalingDrone schreef op zondag 18 april 2021 @ 03:56:
[...]
...
Blijkbaar is het gewoon handel en is dat Fieldlab met hun mega budget niet slim genoeg om die kaarten persoonlijk te maken, lijkt wel alsof ze voor het eerst ticketverkoop doen..
Het enige wat zie hiermee kunnen bewijzen is dat er een levendige zwarthandel in kaartjes bestaat, maargoed dat wist iedereen al, daar hebben we geen overheidsclubje voor nodig.
...
Ik heb zelf kaarten voor het andere testfestival kunnen krijgen. Je hoeft bij de aanschaf enkel je eigen gegevens op te geven. De gegevens voor de andere 3 kaarten kun je later invoeren via een app. Ik wacht nog steeds tot ik dat moet doen, tot nu toe is dat nog niet mogelijk. Ik zou dus de andere 3 kaarten nog steeds kunnen verkopen, beetje vreemd hoe ze dat hebben gedaan.

Voelt wel vreemd om over 2 weken tussen 10.000 andere mensen in een grote tent te staan terwijl je nu eigenlijk maar 1 persoon tegelijk op bezoek mag hebben.

...


Acties:
  • +2 Henk 'm!

  • Woy
  • Registratie: April 2000
  • Niet online

Woy

Moderator Devschuur®
PalingDrone schreef op zondag 18 april 2021 @ 03:56:
[...]

Blijkbaar is het gewoon handel en is dat Fieldlab met hun mega budget niet slim genoeg om die kaarten persoonlijk te maken, lijkt wel alsof ze voor het eerst ticketverkoop doen..
Op de radio werd aangegeven dat je twee uur had om alle gegevens van de bezoekers in te vullen als je uitgeloot werd. Tevens heb ik meerdere keren gehoord dat kaarten persoonlijk zijn, en niet doorverkocht kunnen worden. Dus ik weet niet precies hoe het geregeld is, maar het zouden persoonlijke kaarten moeten zijn.

Sowieso kun je op marktplaats verwachten dat er ook een hoop oplichters mee bezig zijn.

538 haalt het natuurlijk niet zoveel uit, die hebben hun media aandacht en promotie kanon al weer kunnen gebruiken. Buiten dat ik het vreemd vind om op dit moment zoveel mensen bij elkaar te zetten, vind ik het nog vreemder dat er blijkbaar willekeurig ( of met veel lobby werk ) een commerciële organisatie een dergelijk groot voordeel gegeven wordt. Dit lijkt mij nogal op willekeur. Aankomende week kunnen ze lekker de hele week mensen trekken om kaartjes proberen te winnen, terwijl niemand anders een feestje mag geven. Nogal oneerlijke concurrentie. Als ze al dit soort testen willen doen hadden ze het meer onafhankelijk moeten doen, en desnoods 538 inhuren om het te organiseren, maar niet hun naam erop zetten.

“Build a man a fire, and he'll be warm for a day. Set a man on fire, and he'll be warm for the rest of his life.”


Acties:
  • +3 Henk 'm!

  • Dennis1812
  • Registratie: Mei 2011
  • Laatst online: 21:32

Dennis1812

Amateur prutser

pedorus schreef op zaterdag 17 april 2021 @ 17:10:
[...]

Ja, dit is precies waar in de UK een professor als Karol Sikora voor heeft gewaarschuwd. Door het vreemde beleid waarbij corona voorrang krijgt en de rest verdrukt, delven grotere gezondheidszaken als hart- en vaatziekten en kanker het onderspit. Alsof een coronadode erger is dan een kankerdode, terwijl kankerdoden veel jonger zijn en vaker voorkomen (ook in 2020).

Ook in Nederland maakt het kabinet zeer actieve beleidskeuzes hierin, waarbij vervolgens net wordt gedaan alsof het virus beslist. Zo geven we wel miljarden uit aan testen en lockdowns. Echter, er wordt zeer actief voor gekozen om niet in te zetten op het opschalen van de zorg, proberen van gerichte preventie, vroegtijdige medicatie, en zelfzorg thuis. Zuurstof bijvoorbeeld kan ook thuis, dat zou een hoop ziekenhuisopnames schelen (en onderzoek laat daarnaast zien dat het toedienen soms niet nodig is en zelfs schadelijk kan zijn). Wellicht valt er dan een toch een extra coronadode omdat de monitoring thuis slechter is, maar liever 1 oude coronadode meer dan 10 jonge kankerdoden erbij.

Het zijn dus niet jongeren die schuldig zijn door normaal gedrag te vertonen, het lijkt me meer een ziek beleid waar jongeren het slachtoffer van zijn.
Een coronadode is niet erger dan elke andere dode. We werken volgens het principe dat degene die nu acuut een bed nodig heeft, dat bed ook krijgt. Ongeacht corona of kanker.
Dus als je binnenkomt met respiratoire insufficiëntie door covid heb je nu acuut een bed nodig. Dus bed is bezet vanaf dat moment voor langere tijd. Een covid patiënt heeft nou eenmaal lang en veel zorg nodig voor deze naar de reguliere afdeling door kan.
Heb je darmkanker en moet je een grote buik-OK? Heb je pas na je operatie dat bed nodig. Tot die tijd heb je geen bed nodig en je operatie is uit te stellen. (Over de ethiek van het uitstellen is weer een hele andere discussie). Dat uitstellen zal wel moeten, er is namelijk geen personeel meer omdat er teveel mensen met acute ademnood door corona binnen komen waardoor je IC capaciteit ontoereikend is je moet opschalen. Wie komen er dan helpen? Juist, onder andere het OK personeel. Een anesthesiemedewerker hoef je intuberen en beademen niet meer uit te leggen. Een recovery verpleegkundige kan ook beademen en hebben vaak ook een bak kliniek ervaring. Verder stabiliseren is wat ze normaal de hele dag door doen. Die kunnen snel goed vooruit op de IC.

Heeft weinig met beleid te maken, des te meer met personeelsproblemen en het feit dat er altijd acuut gekozen wordt voor op dit moment de meest zieke patient. Op het moment dat je tegen hem zegt, nee ga maar dood. We helpen je niet meer omdat we jantje morgen willen opereren. Die heeft namelijk een kans te sterven zonder de operatie. Dat jij dat sowieso gaat? Bel Hugo maar voor uitleg? Tja.. hoe kan je dat ethisch verantwoorden? Zeker als je nog een plekje hebt?

De man met darmkanker uit mijn voorbeeld kan nevenschade krijgen door uitzaaiingen, dit hoeft echter niet. De man met covid gaat dood zonder zijn plekje.
Zelfzorg thuis? Wordt veel toegepast. Ik kan alleen praten over brabant zuid Oost dan. Maar hier is met intensieve samenwerking met longartsen erg veel zuurstof therapie thuis ingezet. Daarbij ook infuus therapie thuis voor bepaalde medicatie en zelfs bloedtransfusie doen we thuis.
Over schadelijkheid van O2 toedienen ga ik niet in. Als je desatureert en dus hypoxisch bent heb je O2 nodig.
Dat er bepaalde ziektebeelden zijn waarbij langdurige toediening ongewenst is lijkt me evident en weet elke longarts ook. (Net als de meeste verpleegkundigen overigens).

Welke medicatie buiten eventueel corticosteroïden die al toegediend worden wil je verder thuis geven? Die positief geadviseerd worden door gezondheidsraad en in protocollen verwerkt staan? (Geen chloroquine discussie aub).

Het zorgbeleid is gemaakt op een volle IC in normale tijden. Dit omdat we met zijn allen onze zorgpremie te hoog vinden. Standaard 1000 extra bedden geeft je maximaal wat extra ademruimte. Maar met een R>1 zijn die bedden ook zo weer gevuld. Schiet je dus geen drol mee op.

[ Voor 8% gewijzigd door Dennis1812 op 18-04-2021 09:41 ]

Volgens mijn dokter ben ik een heel zeldzaam geval. Deal with it.

Pagina: 1 ... 15 ... 21 Laatste

Dit topic is gesloten.